Affinity Dental Clinic
Smile Stories
Real Experiences, Real Smiles
Smile Stories
Every smile has its own story. Here, you’ll find case overviews that show the starting point, the treatment chosen, and the outcome — all explained clearly and simply. It’s a way to see how different dental solutions can bring back comfort, function, and confidence.
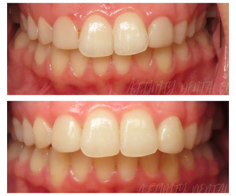
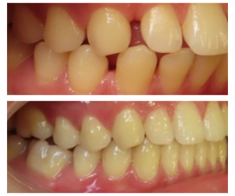
Case : 1
Invisalign
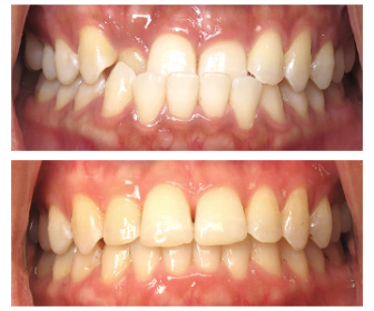
Case : 2
Invisalign
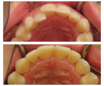
Case : 3
Invisalign
Case : 4
Invisalign
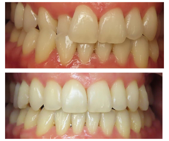
Case : 5
Smile Transform
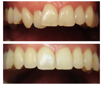
Case : 6
Smile Makeover
Patient Success Stories
Testimonial Videos
Nothing speaks louder than real patient experiences. Watch our testimonial videos to hear directly from patients who have trusted us with their smiles.
Invisalign Smile Transformation
New Patients Welcome
Your Smile Starts Here
Book your appointment with Affinity Dental Clinic today. We’re here to help you move forward with confidence—whether it’s for preventive care, cosmetic options, or something more urgent.






